抜歯即時インプラント治療で
短期間で理想の口元を
抜歯即時インプラントで、
治療期間を大幅短縮

抜歯即時インプラント治療は、歯を抜いた直後にインプラントを埋め込む治療法です。
従来のインプラント治療では、抜歯後に数ヶ月間の治癒期間を設けてからインプラントを埋め込むのが一般的ですが、抜歯即時インプラント治療ではこの期間を省略し、治療期間を大幅に短縮できます。
抜歯即時インプラント治療の
メリット
-
- Merit 1
-
治療期間の短縮
抜歯とインプラント埋入を同時に行うため、治療期間が従来の半分程度に短縮されます。
-
- Merit 2
-
手術回数の減少
一度の手術で済むため、患者の身体的・精神的負担が軽減されます。
抜歯即時インプラント治療の流れ
-
STEP 1
- 診察と治療計画の説明
-
- 問診、レントゲン、歯科用CTなどの検査を行い、顎骨の量や幅、高さを測定します。
- 患者さまに合った治療計画を作成し、治療内容、期間、費用、メリット・デメリットを説明します。
-
STEP 2
- 抜歯・インプラントの手術
- 破損やダメージを受けた歯を局所麻酔を用いて抜歯します。
- 抜歯後の部位を洗浄・消毒し、骨周辺をきれいにします。
- 歯でできた穴の形を整え、インプラント体を埋め込み、隙間に人工骨を補填します。
- デジタル機器を使用して正確な位置にインプラントを埋め込みます。
-
STEP 3
- 骨とインプラント体の結合を待つ
-
- インプラント体と骨が結合するまで約3〜6ヶ月待ちます。
-
STEP 4
- 仮歯の装着
- インプラント体の頭部に仮歯または専用キャップを取り付け、骨と歯茎の回復を待ちます。
-
STEP 5
- 最終的なかぶせものの型取り
- インプラント体と骨の結合を確認後、最終的なかぶせものである人工歯の型取りを行います。
抜歯即時インプラント治療の
症例紹介
CASE.01
臼歯部を抜歯即時でインプラント治療したケース
-
- 主訴
- 噛めない
-
- 治療法
- インプラント治療
-
- 治療期間
- 4ヶ月
-
- 費用
- IP:¥275,000
増骨:¥33,000
アバットメント:¥77,000
ジルコニアクラウン:¥99,000
【リスク・副作用】
抜歯直後にインプラントを埋入するため、固定をうまくとることができない場合、また感染をおこしてしまった場合、インプラントと骨が結合しない場合があります。その場合は再手術が必要になります。
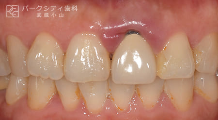
CASE.02
前歯部を抜歯即時でインプラント治療したケース
-

術前
-

術直後
-

術後1年
-
- 主訴
- 前歯を綺麗にしたい
-
- 治療法
- 前歯部の抜歯即時インプラント治療
-
- 治療期間
- 6か月
-
- 費用
- IP:¥275,000
増骨:¥33,000
アバットメント:¥77,000
ジルコニアクラウン:¥176,000
【リスク・副作用】
抜歯直後にインプラントを埋入するため、固定をうまくとることができない場合、また感染をおこしてしまった場合、インプラントと骨が結合しない場合があります。その場合は再手術が必要になります。
インプラント治療の費用
| 治療費(税込) | |
|---|---|
| インプラント埋入 | ¥275,000 |
| プロビジョナル | ¥33,000 |
| アバットメント | ¥77,000 |
| ジルコニアクラウン | ¥99,000 |
| ジルコニアクラウンレイヤリング | ¥143,000~¥176,000 |
| ガイド | ¥33,000 |
| GBR | ¥33,000~ |
| サイナスリフト クレスタルアプローチ |
¥33,000 |
| サイナスリフト ラテラルアプローチ |
¥132,000 |
抜歯即時インプラント治療の
一般的なリスク・副作用
- 抜歯直後にインプラントを埋入するため、固定をうまくとることができない場合、また感染をおこしてしまった場合、インプラントと骨が結合しない場合があります。その場合は再手術が必要になります。
- 全ての患者がこの治療を受けられるわけではありません。十分な骨の量や歯周病の有無など、厳しい条件を満たす必要があります。



