短期間で理想の歯並びへ
導く部分矯正
Partial Orthodontics ちょこっと気になる歯並びを改善
部分矯正で短期間で美しい歯並びを
気になる部分だけを、短期間で美しく。
部分矯正は、特定の歯にターゲットを絞り、集中的に矯正することで、理想的な歯並びと自信に満ちた笑顔を提供します。あなたの笑顔をより美しくするために、一緒にスタートしましょう。
部分矯正とは?

部分矯正は、上下の歯列全体を矯正するのではなく、前歯や特定の箇所など気になる部分だけを短期間で矯正する方法です。
このアプローチは、比較的軽度な歯列不正を持つ方に適しており、より迅速かつ経済的に美しい歯並びを実現します。
部分矯正の特徴
対象範囲が限定的
矯正が必要な歯のみを対象とするため、全体的な歯の動きや位置調整を行う必要がありません。
治療期間が短い
全体矯正に比べて、治療期間が短くなることが多いです。通常、3ヶ月から1年程度で治療が完了します。
コストが抑えられる
矯正する範囲が限定されているため、全体矯正よりも費用が抑えられることが多いです。
部分矯正のメリット
-
- Merit 1
-
短期間で効果が得られる
特定の部分だけを矯正するため、短期間で目に見える効果が得られます。
-
- Merit 2
-
費用が安い
全体矯正に比べて費用が抑えられるため、経済的な負担が軽減されます。
-
- Merit 3
-
審美的効果
主に前歯など目立つ部分の歯並びを改善することで、見た目が良くなります。
こんな方におすすめ
-
- IDEAL FOR 1
- 前歯の隙間や軽度の歯の重なりが気になる方
-
- IDEAL FOR 2
- 結婚式やイベント、面接などまでに歯並びを整えたい方
-
- IDEAL FOR 3
- 全体矯正の必要がないが、笑顔をより魅力的にしたい方
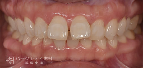
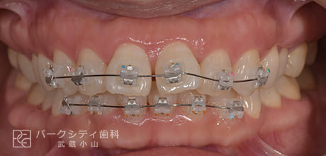
部分矯正
CASE.01
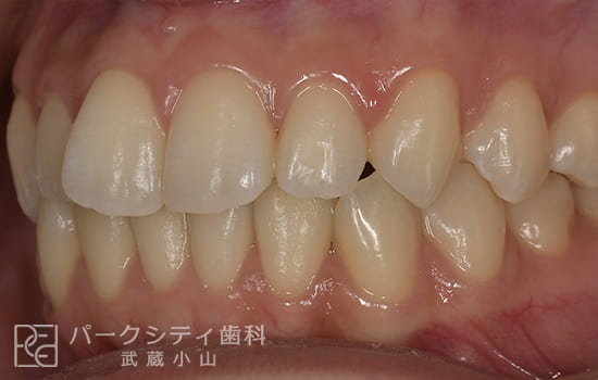
前歯の歯並びを部分矯正で治した症例
-
- 主訴
- 前歯の歯並びが気になる
-
- 治療法
- 舌側矯正による部分矯正
-
- 治療期間
- 6か月
-
- 費用
- ¥532,400
【内訳】
検査料:¥33,000
装置料:¥220,000×2(上下)
チェック:¥4,400×6
保定装置:¥16,500×2(上下)
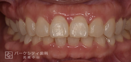
上下裏側に装置をつけ、歯と歯の間を少しずつ削合(ディスキング)しながら歯並びを整えて、約6か月で保定へ移行しました。
【リスク・副作用】
矯正装置を装着した直後や調整後に、歯や歯ぐきに痛みや不快感を感じることがあります。矯正治療中に顎関節に違和感や痛みを感じることがあります。これにより、顎の痛みや口を開けにくいといった症状が出ることがあります。
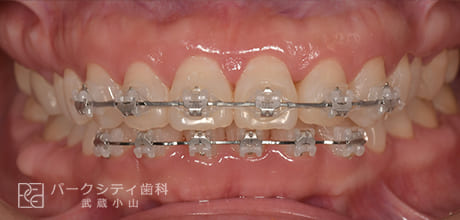
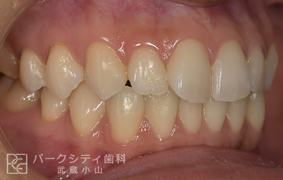
CASE.02
表側の部分矯正の症例
-

術前
-

術中1か月
-

術中3か月
-

4か月
-
- 主訴
- 前歯の隙間が気になる
-
- 治療法
- 表側の部分矯正
-
- 治療期間
- 4か月
-
- 費用
- ¥413,600
【内訳】
検査料:¥33,000
装置料:¥165,000×2(上下)
チェック:¥4,400×4
保定装置:¥16,500×2(上下)
上下表側に装置をつけ、隙間を閉じながら歯並びを整えて、約4か月で保定へ移行しました。
【リスク・副作用】
矯正装置を装着した直後や調整後に、歯や歯ぐきに痛みや不快感を感じることがあります。矯正治療中に顎関節に違和感や痛みを感じることがあります。これにより、顎の痛みや口を開けにくいといった症状が出ることがあります。
矯正歯科の費用
| 治療費(税込) | |
|---|---|
| 初回相談 | 無料 |
| 矯正検査 | ¥33,000 |
| 部分矯正 | ¥165,000~ |
|---|
ワイヤー矯正 基本料金
| 部分矯正(軽度) | 部分矯正(中程度) | 全部矯正 | |
|---|---|---|---|
| メタル | ¥132,000 | ¥198,000 | ¥275,000 |
| セラミック | ¥165,000 | ¥220,000 | ¥330,000 |
| リンガル | ¥220,000 | ¥330,000 | ¥550,000 |
| チェック料金 / 月 | ¥2,200 | ¥4,400 | ¥6,600 |
インビザラインの費用
(保定装置、チェック料金込み)
| ライトパッケージ (14step) |
モデレートパッケージ (26step) |
コンプリートパッケージ (無制限) |
|
|---|---|---|---|
| 片顎 | ¥319,000 | ¥462,000 | / |
| 上下顎 | ¥429,000 | ¥649,000 | ¥979,000 |
| 保定装置 | ¥16,500 2個目以降¥11,000/個 |
|---|---|
| IPアンカー | ¥27,500/本 |
| 便宜抜歯 | ¥5,500/本 |
部分矯正のリスクと副作用
- 矯正装置を装着した直後や調整後に、歯や歯ぐきに痛みや不快感を感じることがあります。通常は数日で慣れますが、痛みが続く場合は歯科医に相談してください。
- 矯正装置が頬や舌に当たることで、口内炎や傷ができることがあります。必要に応じて歯科用ワックスを使用して保護することが推奨されます。
- 装置が口内にあることで、最初は発音がしづらくなることがありますが、通常は数週間で慣れてきます。
- 矯正装置の周りに食べ物が詰まりやすく、ブラッシングが難しくなるため、虫歯や歯周病のリスクが高まります。毎日の丁寧な歯磨きと定期的な歯科検診が重要です。
- 矯正治療中に歯の根が短くなる「歯根吸収」が起こることがあります。
- 歯を動かすことで歯肉が下がり、歯根が露出することがあります。
- 歯の動き方には個人差があるため、予想された治療期間が延びることがあります。
- 部分矯正では全体の噛み合わせを完全に整えることが難しい場合があり、噛み合わせの問題が残ることがあります。
- 硬い食べ物や粘着性のある食べ物を噛むことで、矯正装置が破損することがあります。装置が壊れた場合は、すぐに歯科医に相談してください。
- 矯正装置の金属部分にアレルギー反応を示すことがあります。アレルギーが心配な場合は、事前にパッチテストを受けることをお勧めします。
- 歯の変色や歯の神経が損傷する場合があります。一時的なもので元に戻る場合もありますが、戻らない場合はセラミックによる治療が必要になる場合もあります。









