インプラント×矯正で理想の口元へ

現代の歯科治療では、患者さまの口腔内の健康と美しさを最大限に引き出すために、インプラント治療と矯正治療を組み合わせることが一般的になっています。
このコラボレーション治療は、失った歯を補うだけでなく、歯並びや咬み合わせを改善することで、より自然で機能的な口元を実現します。
インプラントと矯正治療のメリット
インプラント治療と矯正治療を組み合わせることで、以下のようなメリットがあります
-
- Merit 1
-
総合的な口腔内の改善
失った歯を補うだけでなく、歯並びや咬み合わせを同時に改善することで、より自然で機能的な口元を実現します。
-
- Merit 2
-
治療期間の短縮
個別に治療を行うよりも、同時に進めることで治療期間を短縮することができます。
-
- Merit 3
-
一貫した治療計画
一つの治療計画のもとで進めるため、治療の流れがスムーズで、患者様にとっても負担が少なくなります。
総合的な歯科治療で、
あなたの笑顔が再び輝く

インプラント治療と矯正治療のコラボレーションは、患者さまの口腔内の健康と美しさを最大限に引き出すための効果的な方法です。
失った歯を補いながら、歯並びや咬み合わせを改善することで、より自然で機能的な口元を実現します。
興味のある方は、当院までご相談ください。
インプラント治療と矯正治療の
症例紹介
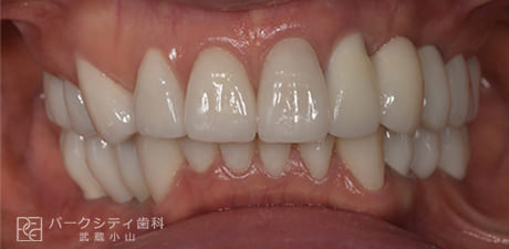
CASE.01
-
- 主訴
- 全体的に綺麗にしたい
-
- 治療法
- 矯正歯科治療
インプラント治療
セラミック治療
-
- 治療期間
- 2年
-
- 費用
- トータル¥5,000,000程度
【リスク・副作用】
矯正装置を装着した直後や調整後に、歯や歯ぐきに痛みや不快感を感じることがあります。矯正治療中に顎関節に違和感や痛みを感じることがあります。これにより、顎の痛みや口を開けにくいといった症状が出ることがあります。
抜歯直後にインプラントを埋入するため、固定をうまくとることができない場合、また感染をおこしてしまった場合、インプラントと骨が結合しない場合があります。その場合は再手術が必要になります。
インプラント治療の費用
| 治療費(税込) | |
|---|---|
| インプラント埋入 | ¥275,000 |
| プロビジョナル | ¥33,000 |
| アバットメント | ¥77,000 |
| ジルコニアクラウン | ¥99,000 |
| ジルコニアクラウンレイヤリング | ¥143,000~¥176,000 |
| ガイド | ¥33,000 |
| GBR | ¥33,000~ |
| サイナスリフト クレスタルアプローチ |
¥33,000 |
| サイナスリフト ラテラルアプローチ |
¥132,000 |
矯正歯科の費用
| 治療費(税込) | |
|---|---|
| 初回相談 | 無料 |
| 矯正検査 | ¥33,000 |
| 部分矯正 | ¥165,000~ |
|---|
ワイヤー矯正 基本料金
| 部分矯正(軽度) | 部分矯正(中程度) | 全部矯正 | |
|---|---|---|---|
| メタル | ¥132,000 | ¥198,000 | ¥275,000 |
| セラミック | ¥165,000 | ¥220,000 | ¥330,000 |
| リンガル | ¥220,000 | ¥330,000 | ¥550,000 |
| チェック料金 / 月 | ¥2,200 | ¥4,400 | ¥6,600 |
インビザラインの費用
(チェック料金 ¥3,300)
| ライトパッケージ (14step) |
モデレートパッケージ (26step) |
コンプリートパッケージ (無制限) |
|
|---|---|---|---|
| 片顎 | ¥319,000 | ¥462,000 | / |
| 上下顎 | ¥429,000 | ¥649,000 | ¥979,000 |
| 保定装置 | ¥16,500 2個目以降¥11,000/個 |
|---|---|
| IPアンカー | ¥27,500/本 |
| 便宜抜歯 | ¥5,500/本 |



