オーダーメイドの歯科治療で
あなたの素敵な笑顔をサポートします
オーダーメイドの歯科治療で
あなたの素敵な笑顔をサポートします
2025.10.14
2025.5.28
2024.11.18
パークシティ歯科 武蔵小山の公式Instagramで治療について、求人情報、お役立ち情報などの最新情報を発信しています!
フォロー、いいねをしていただければ嬉しく思います!
皆さま、こんにちは。
この度、パークシティ歯科 武蔵小山を開院することとなりました。
私たちの歯科医院では、患者さま一人ひとりに寄り添い、丁寧な診療と最新の医療技術をご提供いたします。また、武蔵小山駅前なので通院もしやすい歯科医院です。
健康な口腔環境は全身の健康につながっているため、私たちは常に患者さまの生活の質を向上させることを目指しています。
歯やお口のことでお困りのことや不安なことがあれば、どんな些細なことでもお気軽にご相談ください。
患者さまに安心して通っていただけるよう、明るく清潔な環境を整え、スタッフ一同、笑顔でお迎えいたします。
TREATMENT
MENU
FEATURE


High quality dental care
私たちパークシティ歯科 武蔵小山では、患者さま一人ひとりの個別のニーズやお悩みに応じた、オーダーメイドの歯科医療をご提供しています。
すべての患者さまにとって最適な治療プランを組み立てるため、丁寧なカウンセリングと精密な診断を常に心掛けています。


State of the art treatment facilities
当院では、患者さまに最適な治療をご提供するために、歯科用CTスキャン、3Dスキャナー、世界基準の滅菌システムなどの最新鋭の治療設備を導入しています。
これにより、より安全で正確な診断と効果的な治療が可能となり、患者さまの負担を軽減するだけでなく、治療後の快適な生活をサポートします。







はじめまして。この度、パークシティ歯科 武蔵小山を開院することとなりました。
私たちのホームページをご覧いただき、誠にありがとうございます。
当院では、患者さま一人ひとりに最適な、高品質な歯科医療をお届けすることを使命としています。
私たちは、最新鋭の治療設備と技術を駆使し、患者さまにとって最善の治療プランをご提案いたします。
あなたの笑顔と健康を、心を込めてサポートいたします。
健康な口腔環境は、全身の健康と生活の質に大きく影響します。
私たちは、皆さまが安心して通える歯科医院でありたいと考えています。
どんな些細なことでもお気軽にご相談ください。
私たちの専門知識と技術で、皆さまのお悩み解決のお手伝いをいたします。
これからも、皆さまの笑顔を守る家族のような存在であり続けるために、スタッフ一同、心を込めてお迎えします。どうぞ、パークシティ歯科 武蔵小山をよろしくお願いいたします。
院長 中尾 洋彰 / Hiroaki Nakao




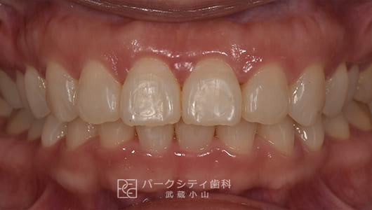
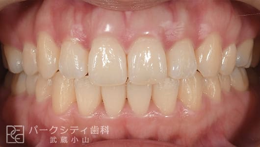
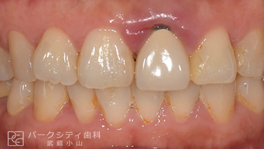
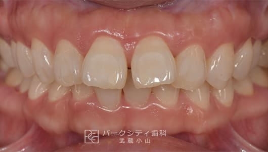
以上のようなお悩みの方は当院のインプラント治療で改善ができます。
〒142-0062
東京都品川区小山3-15-1
パークシティ武蔵小山ザモール 2F
TEL:03-6451-3865
| 診療時間 | 月 | 火 | 水 | 木 | 金 | 土 | 日 |
|---|---|---|---|---|---|---|---|
| 10:00 - 13:00 | ○ | ○ | ○ | × | ○ | ○ | × |
| 14:30 - 19:00 | ○ | ○ | ○ | × | ○ | ○ | × |
休診日:木曜、日曜、祝日
木曜、日曜、祝日休診