矯正治療の症例紹介
CASE.01
叢生、乱杭歯
-

正面観術前
-

正面観術中
-

正面観術後
-

右側面観術前
-

右側面観術中
-

右側面観術後
-

左側面観術前
-

左側面観術中
-

左側面観術後
-

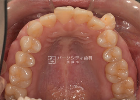
上顎術前
-

上顎術中
-

上顎術後
-

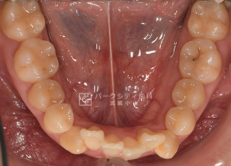
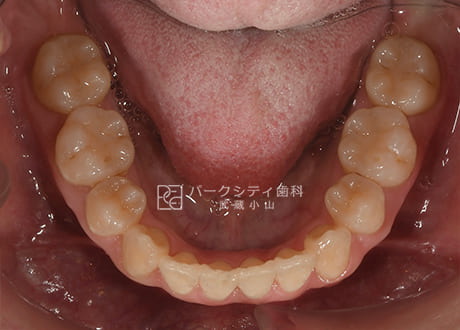
下顎術前
-

下顎術中
-

下顎術後
-
- 主訴
- 歯並びが気になる
-
- 治療法
- 表側矯正による抜歯矯正
-
- 治療期間
- 18ヶ月
-
- 治療費
- ¥875,600(税込)
【内訳】
検査代:¥33,000
装置代 上下メタル全部矯正:¥275,000×2
保定装置:¥16,500×2
抜歯代:¥5,500×4
check料:¥13,200×18回
【リスク・副作用】
痛みや不快感、歯根吸収、歯肉退縮、歯髄壊死、後戻り
矯正歯科の費用
| 治療費(税込) | |
|---|---|
| 初回相談 | 無料 |
| 矯正検査 | ¥33,000 |
| 部分矯正 | ¥165,000~ |
|---|
ワイヤー矯正 基本料金
| 部分矯正(軽度) | 部分矯正(中程度) | 全部矯正 | |
|---|---|---|---|
| メタル | ¥132,000 | ¥198,000 | ¥275,000 |
| セラミック | ¥165,000 | ¥220,000 | ¥330,000 |
| リンガル | ¥220,000 | ¥330,000 | ¥550,000 |
| チェック料金 / 月 | ¥2,200 | ¥4,400 | ¥6,600 |
インビザラインの費用
(チェック料金 ¥3,300)
| ライトパッケージ (14step) |
モデレートパッケージ (26step) |
コンプリートパッケージ (無制限) |
|
|---|---|---|---|
| 片顎 | ¥319,000 | ¥462,000 | / |
| 上下顎 | ¥429,000 | ¥649,000 | ¥979,000 |
| 保定装置 | ¥16,500 2個目以降¥11,000/個 |
|---|---|
| IPアンカー | ¥27,500/本 |
| 便宜抜歯 | ¥5,500/本 |